Finals Long case

 


This is an online Elog book to discuss our patient deidentified health data shared after taking his/ her guardians sign informed consent

Here we discuss our individual patient problems through series of inputs from available Global online community of experts with n aim to solve those patient clinical problem with collect6current best evidence based input
This Elog also reflects my patient centered online learning portfolio.
Your valuable inputs on comment box is welcome
 I have been given this case to solve in an attempt to understand the topic of " Patient clinical data analysis" to develop my competancy in reading and comprehending clinical data including history, clinical finding, investigations and come up with a  diagnosis and treatment plan

CONSENT AND DEIDENTIFICATION : 

The patient and the attenders have been adequately informed about this documentation and privacy of the patient is being entirely conserved. No identifiers shall be revealed through out the piece of work whatsoever

ACKNOWLEDGEMENTS

1)Few of the Images are taken from the following Elog

https://anuraag10-2k16.blogspot.com/2022/05/45ymale-with-co-altered-sensorium-and.html


2)Thanku Dr.Vinay PGY2 for the guidance 


THE CASE 

This is a case of 50 year old male, farmer by occupation, resident of Nalgonda has come to the hospital 20 days back with the chief complaints of 

1.Unconsciousness 



10 YEARS BACK 

Daily routine 

4AM - Wake up

6AM- Farming and milking cows

12 PM - Reach home , lunch

2 PM - sleep

4 PM - Farming, milking of cows

6PM- Sell milk

8PM- Reach home, dinner

9PM- Sleep

(If he drinks)

8PM- Go to bar , drink alcohol

9PM-Reach home

10 PM- Sleep

The patient noticed increased in the frequency of micturition 

He went to the local hospital and diagnosed to be having Diabetes type 2 

He was prescribed Oral anti hyperglycaemic drugs


3 YEARS BACK 

1.The patient complained of diminished vision in the right eye

Cataract surgery done for the right eye

2. The patient was shifted from OHA to Insulin


1 YEAR BACK

Minor injury to the right sole

Non healing ulcer

Wet gangrene 

Diabetic foot

Amputation below knee



Daily routine changed 

4AM- wake up

6 AM- Supervise farming and milking of cows

12PM- Reach home, Lunch

2PM- Sleep

4PM- Supervise farming and milking of cows

6PM- sell milk

8PM- Reach home, dinner

9PM- Sleep

30 DAYS BACK

Burning micturition

25 DAYS BACK

3-4 episodes of vomitings which are non bilious non foul smelling non blood stained contained undigested food particles 

Abdominal pain

20 DAYS BACK 

The patient is alone at home when he fell unconscious  

His wife found him lying on the floor and rushed him to the hospital at around 3PM

At the time of presentation,there are no complaints of

1) pedal edema

2)dyspnoea

3)decreased urine output 

4)fatigue

5)renal colic 

6) fever spikes


PERSONAL HISTORY 

DIET- mixed

APETITE- decreased 

SLEEP- good

BOWEL AND BLADDER- regular 

ADDICTIONS - stopped alcohol 1 year back 

FAMILY HISTORY 

Not significant 

TREATMNET HISTORY

Insulin

GENERAL EXAMINATION 










The patient is coherent, conscious, cooperative, well oriented to time place and person 

He is moderately built and nourished

Pallor- present 



Icterus- absent 

Cyanosis- absent

Clubbing- absent

Edema- absent 

Lymphadenopathy -absent 


VITALS







SYSTMEIC EXAMINATION

Respiratory system- Normal vesicular breath sounds heard

CVS- S1 S2 heard

CNS - No signs of meningitis found 

           Higher motor functions intact 

ABDOMINAL EXAMINATION 

INSPECTION 

Done in well lit area

Shape of abdomen:normal

Umbilicus- inverted 

Movements:all quadrants are moving equally with respiration 

No scars,engorged veins ,sinuses,swelling

No visible gastric peristalsis

No renal angle fullness



PALPATION

All inspectatory findings have been confirmed

No local rise of temperature ,no tenderness

No guarding on superficial palpation

No palpable mass

No hepatomegaly ,spleenomegaly or renal swelling on deep palpation

No fluid thrill

Kidney non ballotable 


PERCUSSION

resonant note heard 


AUSCULTATION

bowel sounds heard


DIAGNOSIS

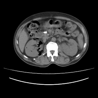
THIS IS A CASE OF EMPHYSEMATOUS PYELONEPHRITIS ON RIGHT SIDE AND PYELONEPHRITIS ON THE LEFT SIDE WITH ENCEPHALOPATHY SECONDARY TO SEPSIS IN A DIABETIC PATIENT 


INVESTIGATIONS




19/5/2022











21/5/2022



24/5/2022


25/5/2022


26/5/2022

27/5/2022


30/5/2022

ECG
 CT








Treatment:



INJ. MEROPENEM 500mg IV BD
INJ. ZOFER 4mg IV TID
INJ. PAN 40mg IV OD
IV Fluids- NS,RL @ 100 mL/hr
BP/HR/RR/SpO2 charting
Temp charting 4th hrly
RT feeds- 2nd hrly 100 mL water

SOAP NOTES:
DAY1
SOAP NOTES ICU BED-6, DAY -1
DOA: 19/05/2022
S:
C/o vomitting present
Pt is c/c/c
Pt is not drowsy
Pt c/o mild abdominal pain- diffuse
O:
BP: 120/70 mmHg
HR:96 bpm
RR: 20 cpm
TEMP: 98.7 F
SPO2:98% on RA
GRBS: 256 mg/dL

General Examination: 
Pallor present
No Icterus/Cyanosis/Clubbing/Koilonychia/Lymphadenopathy/Edema
No dehydration
Thyroid normal

Systemic Examination:
CVS: S1S2 heard, No murmurs
RS: BAE+,NVBS
P/A: Soft, Non tender
CNS: 
Pt is having altered sensorium
Reflexes: (Biceps/Triceps/Knee/Ankle/Plantar)-
+

Power: Normal(5/5) in both Upper and Lower limbs
Tone: Normal in both Upper and Lower limbs

No meningeal signs
A:
Right Emphysematous Pyelonephritis with Left Acute Pyelonephritis with Encephalopathy secondary to Sepsis
H/o Type 2 DM since 10 yrs
P:
INJ. MEROPENEM 500mg IV BD
INJ. ZOFER 4mg IV TID
INJ. PAN 40mg IV OD
IV Fluids- NS,RL @ 100 mL/hr
BP/HR/RR/SpO2 charting
Temp charting 4th hrly
RT feeds- 2nd hrly 100 mL water


DAY2
SOAP NOTES ICU BED-6, DAY -2
DOA: 19/05/2022
S:
C/o vomitting present
Pt is c/c/c
Pt is not drowsy
Pt c/o mild abdominal pain- diffuse
O:
BP: 120/70 mmHg
HR:96 bpm
RR: 20 cpm
TEMP: 98.7 F
SPO2:98% on RA
GRBS: 256 mg/dL

General Examination: 
Pallor present
No Icterus/Cyanosis/Clubbing/Koilonychia/Lymphadenopathy/Edema
No dehydration
Thyroid normal

Systemic Examination:
CVS: S1S2 heard, No murmurs
RS: BAE+,NVBS
P/A: Soft, Non tender
CNS: 
Pt is having altered sensorium
Reflexes: (Biceps/Triceps/Knee/Ankle/Plantar)-
+

Power: Normal(5/5) in both Upper and Lower limbs
Tone: Normal in both Upper and Lower limbs

No meningeal signs
A:
Right Emphysematous Pyelonephritis with Left Acute Pyelonephritis with Encephalopathy secondary to Sepsis
H/o Type 2 DM since 10 yrs
P:
INJ. MEROPENEM 500mg IV BD
INJ. ZOFER 4mg IV TID
INJ. PAN 40mg IV OD
IV Fluids- NS,RL @ 100 mL/hr
BP/HR/RR/SpO2 charting
Temp charting 4th hrly
RT feeds- 2nd hrly 100 mL water


DAY4
SOAP NOTES ICU BED-6, DAY -4
DOA: 19/05/2022
S:
No new complaints 
O:
BP: 100/60 mmHg
HR:76 bpm
RR: 20 cpm
TEMP: 98.7 F
SPO2:98% on RA
GRBS: 148 mg/dL

General Examination: 
Pallor present
No Icterus/Cyanosis/Clubbing/Koilonychia/Lymphadenopathy/Edema
No dehydration
Thyroid normal

Systemic Examination:
CVS: S1S2 heard, No murmurs
RS: BAE+,NVBS
P/A: Soft, Non tender
CNS: 
NAD
Reflexes: (Biceps/Triceps/Knee/Ankle/Plantar)-
+

Power: Normal(5/5) in both Upper and Lower limbs
Tone: Normal in both Upper and Lower limbs

No meningeal signs
A:
Right Emphysematous Pyelonephritis with Left Acute Pyelonephritis with Encephalopathy secondary to Sepsis
H/o Type 2 DM since 10 yrs

P:
INJ. MEROPENEM 500mg IV BD
INJ. ZOFER 4mg IV TID
INJ. RANTAC 50mg IV OD
INJ. KCl 2 Amp in 500 mL NS over 4.5 hrs infusion
IV Fluids- NS,RL @ 100 mL/hr
SYP. POTCHLOR 10 mL in 1 glass of water TID
SYP. MUCAINE GEL 10 mL PO TID
7 point profile
BP/HR/RR/SpO2 charting
Temp charting 4th hrly
RT feeds- 2nd hrly 100 mL water


DAY5
SOAP NOTES ICU BED-6, DAY -5
DOA: 19/05/2022
S:
No new complaints 
O:
BP: 100/60 mmHg
HR:78 bpm
RR: 20 cpm
TEMP: 98.7 F
SPO2:98% on RA
GRBS: 148 mg/dL
I/O:2950mL/1700mL

General Examination: 
Pallor present
No Icterus/Cyanosis/Clubbing/Koilonychia/Lymphadenopathy/Edema
No dehydration
Thyroid normal

Systemic Examination:
CVS: S1S2 heard, No murmurs
RS: BAE+,NVBS
P/A: Soft, Non tender
CNS: 
NAD
Reflexes: (Biceps/Triceps/Knee/Ankle/Plantar)-
+

Power: Normal(5/5) in both Upper and Lower limbs
Tone: Normal in both Upper and Lower limbs

No meningeal signs
A:
Right Emphysematous Pyelonephritis with Left Acute Pyelonephritis with Encephalopathy secondary to Sepsis
H/o Type 2 DM since 10 yrs

P:
INJ. MEROPENEM 500mg IV BD
INJ. ZOFER 4mg IV TID
INJ. RANTAC 50mg IV OD
INJ. KCl 2 Amp in 500 mL NS over 4.5 hrs infusion
IV Fluids- NS,RL @ 100 mL/hr
SYP. POTCHLOR 10 mL in 1 glass of water TID
SYP. MUCAINE GEL 10 mL PO TID
7 point profile
BP/HR/RR/SpO2 charting
Temp charting 4th hrly
RT feeds- 2nd hrly 100 mL water


DAY6
SOAP NOTES ICU BED-6, DAY -6
DOA: 19/05/2022
S:
Diffuse abdominal pain present aggravated upon consuming food
1 fever spike yesterday evening
Encephalopathy resolving
No other complaints

O:
BP: 110/70 mmHg
HR:74 bpm
RR: 20 cpm
TEMP: 98.3 F
SPO2:98% on RA
GRBS: 170 mg/dL

General Examination: 
Pallor present
No Icterus/Cyanosis/Clubbing/Koilonychia/Lymphadenopathy/Edema
No dehydration
Thyroid normal

Systemic Examination:
CVS: S1S2 heard, No murmurs
RS: BAE+,NVBS
P/A: Soft, Non tender
CNS: 
NAD
Reflexes: (Biceps/Triceps/Knee/Ankle/Plantar)-
+
Power: Normal(5/5) in both Upper and Lower limbs
Tone: Normal in both Upper and Lower limbs

No meningeal signs

A:
Right Emphysematous Pyelonephritis with Left Acute Pyelonephritis with Encephalopathy secondary to Sepsis
H/o Type 2 DM since 10 yrs

P:
INJ. MEROPENEM 500mg IV BD (Day 6)
INJ. ZOFER 4mg IV TID
INJ. RANTAC 50mg IV OD
INJ. LASIX 40 mg IV BD
IV Fluids- NS,RL @ 100 mL/hr
SYP. MUCAINE GEL 10 mL PO TID
GRBS 7 point profile
INJ.HAI SC TID ACC to GRBS
TAB.DOLO 650 mg SOS
BP/HR/RR/SpO2 charting
Temp charting 4th hrly


DAY7
SOAP NOTES ICU BED-6, DAY -7
DOA: 19/05/2022
S:
No complaints

O:
BP: 110/70 mmHg
HR:72 bpm
RR: 20 cpm
TEMP: 98.3 F
SPO2:98% on RA
GRBS: 215 mg/dL

General Examination: 
Pallor present
No Icterus/Cyanosis/Clubbing/Koilonychia/Lymphadenopathy/Edema
No dehydration
Thyroid normal

Systemic Examination:
CVS: S1S2 heard, No murmurs
RS: BAE+,NVBS
P/A: Soft, Non tender
CNS: 
NAD
Reflexes: (Biceps/Triceps/Knee/Ankle/Plantar)-
+
Power: Normal(5/5) in both Upper and Lower limbs
Tone: Normal in both Upper and Lower limbs

No meningeal signs

A:
Right Emphysematous Pyelonephritis with Left Acute Pyelonephritis with Encephalopathy secondary to Sepsis
H/o Type 2 DM since 10 yrs

P:
INJ. MEROPENEM 500mg IV BD (Day 7)
INJ. ZOFER 4mg IV TID
INJ. RANTAC 50mg IV OD
INJ. LASIX 40 mg IV BD
IV Fluids- NS,RL @ 100 mL/hr
SYP. MUCAINE GEL 10 mL PO TID
GRBS 7 point profile
INJ.HAI SC TID ACC to GRBS
TAB.DOLO 650 mg SOS
BP/HR/RR/SpO2 charting
Temp charting 4th hrly


DAY8
SOAP NOTES ICU BED-6, DAY -8
DOA: 19/05/2022
S:
1 fever spike since yesterday 
Sensorium improving
Abdominal pain subsided

O:
BP: 110/70 mmHg
HR:74 bpm
RR: 20 cpm
TEMP: 98.3 F
SPO2:98% on RA
GRBS: 215 mg/dL

General Examination: 
Pallor present
No Icterus/Cyanosis/Clubbing/Koilonychia/Lymphadenopathy/Edema
No dehydration
Thyroid normal

Systemic Examination:
CVS: S1S2 heard, No murmurs
RS: BAE+,NVBS
P/A: Soft, Non tender
CNS: 
NAD
Reflexes: (Biceps/Triceps/Knee/Ankle/Plantar)-
+
Power: Normal(5/5) in both Upper and Lower limbs
Tone: Normal in both Upper and Lower limbs

No meningeal signs

A:
Right Emphysematous Pyelonephritis with Left Acute Pyelonephritis with Encephalopathy secondary to Sepsis
H/o Type 2 DM since 10 yrs

P:
NBM till further orders
INJ. MEROPENEM 500mg IV BD (Day 8)
INJ. ZOFER 4mg IV TID
INJ. RANTAC 50mg IV OD
INJ. LASIX 40 mg IV BD
IV Fluids- NS,RL @ 100 mL/hr
SYP. MUCAINE GEL 10 mL PO TID
GRBS 7 point profile
INJ.HAI SC TID ACC to GRBS
TAB.DOLO 650 mg SOS
BP/HR/RR/SpO2 charting
Temp charting 4th hrly


DAY9
SOAP NOTES ICU BED-6, DAY -9
DOA: 19/05/2022
S:
Sensorium improving
Abdominal pain subsided

O:
BP: 120/70 mmHg
HR:72 bpm
RR: 20 cpm
TEMP: 98.3 F
SPO2:98% on RA
GRBS: 164 mg/dL

General Examination: 
Pallor present
No Icterus/Cyanosis/Clubbing/Koilonychia/Lymphadenopathy/Edema
No dehydration
Thyroid normal

Systemic Examination:
CVS: S1S2 heard, No murmurs
RS: BAE+,NVBS
P/A: Soft, Non tender
CNS: 
NAD
Reflexes: (Biceps/Triceps/Knee/Ankle/Plantar)-
+
Power: Normal(5/5) in both Upper and Lower limbs
Tone: Normal in both Upper and Lower limbs

No meningeal signs

A:
Right Emphysematous Pyelonephritis with Left Acute Pyelonephritis with Encephalopathy secondary to Sepsis
H/o Type 2 DM since 10 yrs

P:
NBM till further orders
INJ. MEROPENEM 500mg IV BD (Day 9)
INJ. ZOFER 4mg IV TID
INJ. RANTAC 50mg IV OD
INJ. LASIX 40 mg IV BD
IV Fluids- NS,RL @ 100 mL/hr
SYP. MUCAINE GEL 10 mL PO TID
GRBS 7 point profile
INJ.HAI SC TID ACC to GRBS
TAB.DOLO 650 mg SOS
BP/HR/RR/SpO2 charting
Temp charting 4th hrly

SDP Transfusion done I/v/o low platelet count
Pre transfusion counts
Hb: 7.0 g/dL
TLC:22000
PLt:26000
Post transfusion counts
Hb:6.5 g/dL
TLC: 17700
PLt:7000

DAY 10
SOAP NOTES ICU BED-6, DAY -9
DOA: 19/05/2022
S:
Sensorium improving
Abdominal pain subsided

O:
BP: 120/70 mmHg
HR:72 bpm
RR: 20 cpm
TEMP: 98.3 F
SPO2:98% on RA
GRBS: 164 mg/dL

General Examination: 
Pallor present
No Icterus/Cyanosis/Clubbing/Koilonychia/Lymphadenopathy/Edema
No dehydration
Thyroid normal

Systemic Examination:
CVS: S1S2 heard, No murmurs
RS: BAE+,NVBS
P/A: Soft, Non tender
CNS: 
NAD
Reflexes: (Biceps/Triceps/Knee/Ankle/Plantar)-
+
Power: Normal(5/5) in both Upper and Lower limbs
Tone: Normal in both Upper and Lower limbs

No meningeal signs

A:
Right Emphysematous Pyelonephritis with Left Acute Pyelonephritis with Encephalopathy secondary to Sepsis
H/o Type 2 DM since 10 yrs

P:
NBM till further orders
INJ. MEROPENEM 500mg IV BD (Day 10)
INJ. COLISTIN IV OD
INJ. ZOFER 4mg IV TID
INJ. RANTAC 50mg IV OD
INJ. LASIX 40 mg IV BD
IV Fluids- NS,RL @ 100 mL/hr
SYP. MUCAINE GEL 10 mL PO TID
GRBS 7 point profile
INJ.HAI SC TID ACC to GRBS
TAB.DOLO 650 mg SOS
BP/HR/RR/SpO2 charting
Temp charting 4th hrly

DAY 11
SOAP NOTES ICU BED-6, DAY -11
DOA: 19/05/2022
S:
Previous complaints resolving 
O:
BP: 120/80 mmHg
HR:98 bpm
RR: 20 cpm
TEMP: 100.8 F
SPO2:98% on RA
GRBS: 175 mg/dL


General Examination: 
Pallor present
No Icterus/Cyanosis/Clubbing/Koilonychia/Lymphadenopathy/Edema
No dehydration
Thyroid normal

Systemic Examination:
CVS: S1S2 heard, No murmurs
RS: BAE+,NVBS
P/A: Soft, Non tender
CNS: 
NAD
Reflexes: (Biceps/Triceps/Knee/Ankle/Plantar)-
+
Power: Normal(5/5) in both Upper and Lower limbs
Tone: Normal in both Upper and Lower limbs

No meningeal signs

A:
Right Emphysematous Pyelonephritis with Left Acute Pyelonephritis with Encephalopathy secondary to Sepsis
H/o Type 2 DM since 10 yrs

P:

INJ. COLISTIN 2.25 MU IV OD(Day 4)
INJ. ZOFER 4mg IV TID
INJ. RANTAC 50mg IV OD
INJ. LASIX 40 mg IV BD
IV Fluids- NS,RL @ 100 mL/hr
SYP. MUCAINE GEL 10 mL PO TID
GRBS 7 point profile
INJ.HAI SC TID ACC to GRBS
TAB.DOLO 650 mg SOS
BP/HR/RR/SpO2 charting
Temp charting hrly

DAY 12
SOAP NOTES ICU BED-6, DAY -12
DOA: 19/05/2022
S:
Previous complaints resolving 
O:
BP: 110/80 mmHg
HR:89 bpm
RR: 20 cpm
TEMP: 99.7 F
SPO2:98% on RA
GRBS: 148 mg/dL


General Examination: 
Pallor present
No Icterus/Cyanosis/Clubbing/Koilonychia/Lymphadenopathy/Edema
No dehydration
Thyroid normal

Systemic Examination:
CVS: S1S2 heard, No murmurs
RS: BAE+,NVBS
P/A: Soft, Non tender
CNS: 
NAD
Reflexes: (Biceps/Triceps/Knee/Ankle/Plantar)-
+
Power: Normal(5/5) in both Upper and Lower limbs
Tone: Normal in both Upper and Lower limbs

No meningeal signs

A:
Right Emphysematous Pyelonephritis with Left Acute Pyelonephritis with Encephalopathy secondary to Sepsis
H/o Type 2 DM since 10 yrs

P:

INJ. COLISTIN 2.25 MU IV OD(Day 5)
INJ. ZOFER 4mg IV TID
INJ. RANTAC 50mg IV OD
INJ. LASIX 40 mg IV BD
IV Fluids- NS,RL @ 100 mL/hr
SYP. MUCAINE GEL 10 mL PO TID
GRBS 7 point profile
INJ.HAI SC TID ACC to GRBS
TAB.DOLO 650 mg SOS
BP/HR/RR/SpO2 charting
Temp charting hrly


Comments

Popular posts from this blog

35 year old male with seizures

COVID with ICU psychosis

19yr old with Viral Pyrexia